Skip Menu
Continue
  • 230 Park Avenue,
  • Suite 1164,
  • New York, NY 10169
  • Home
  • About
    • Our Office
    • New Patients
    • Magazine Appearances
    • Smile Gallery
    • Reviews
  • Meet Our Doctor
    • Clifford Williams, DMD
  • Treatments
      • All on 4®
      • All on 6
      • Bonding
      • Cosmetic Dentistry
      • Dental Bridges
      • Dental Cleanings
      • Dental Fillings
      • Dentures
      • Emergency Treatment
      • Inlays & Onlays
      • Invisalign®
      • Night Guards
      • Oral Exams
      • Preventive Program
      • Sleep Apnea
      • Teeth Whitening
      • Veneers
  • High Tech Dentistry
    • CEREC®
    • Digital Impressions
    • CariVu Caries Detection
    • VELscope® Vantage System
    • Claris Intraoral Camera
    • Laser Dentistry
    • LANAP®
  • Dental Health
    • Informational Videos
    • Dental Health Library
  • Contact
    • Contact Us
    • Request Appointment

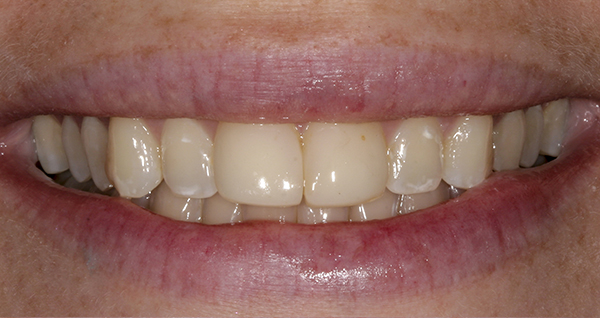
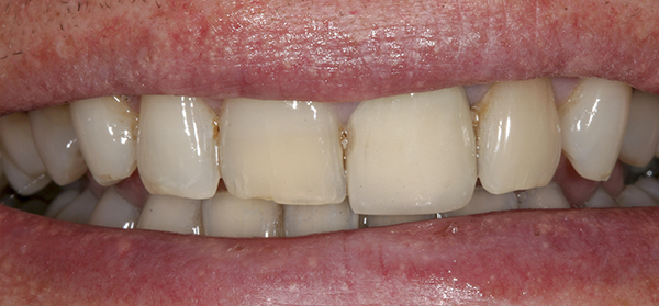
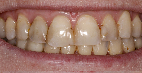
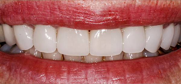
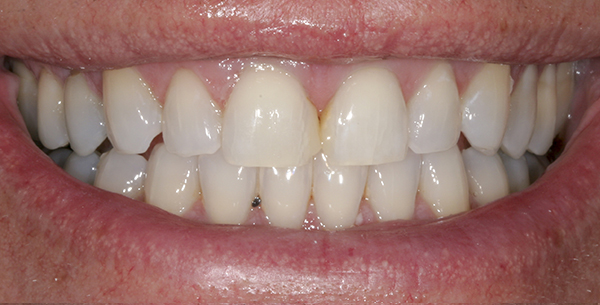
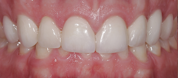
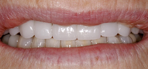
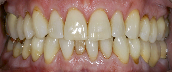
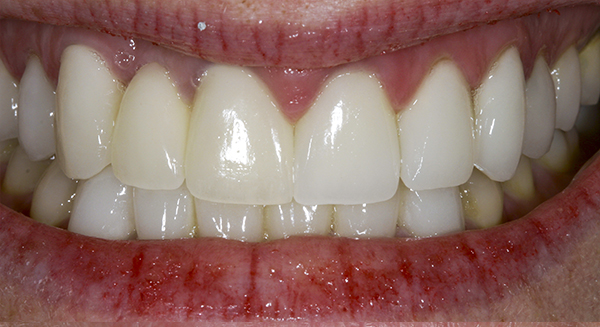
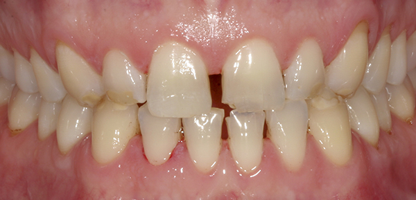
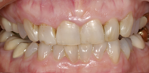
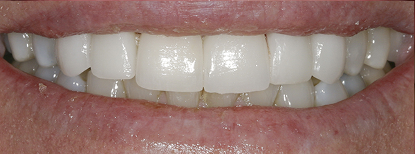
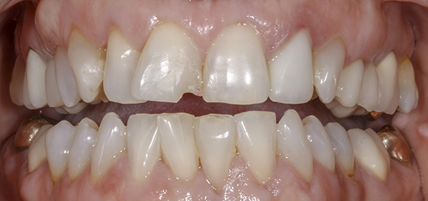
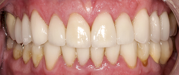
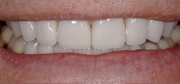
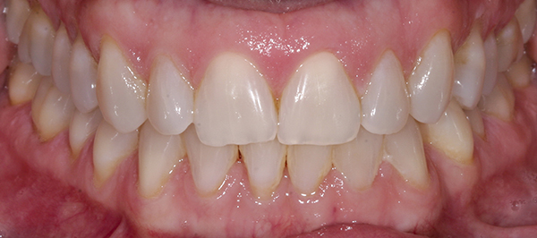
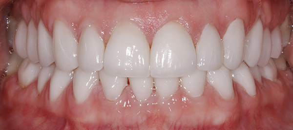
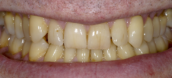
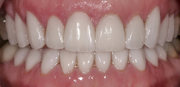
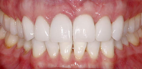
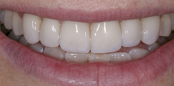
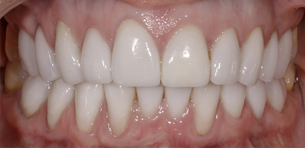
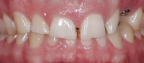
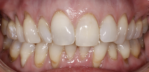
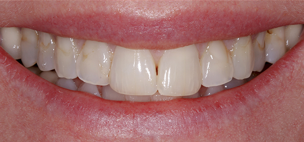
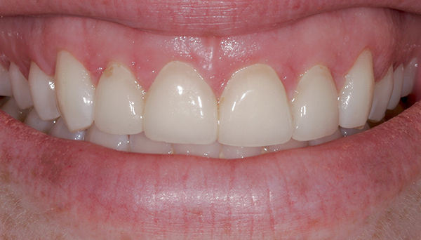
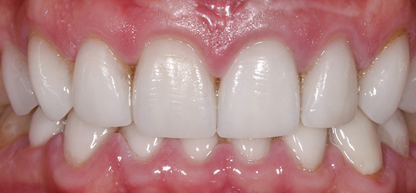
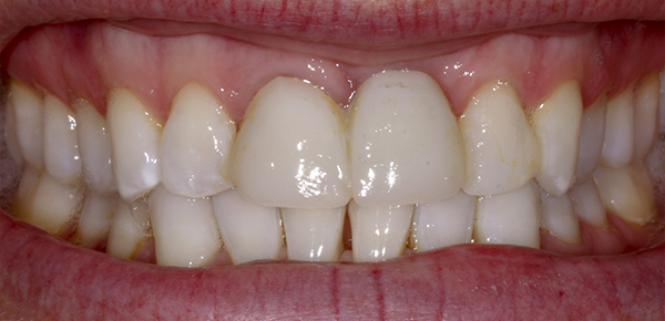
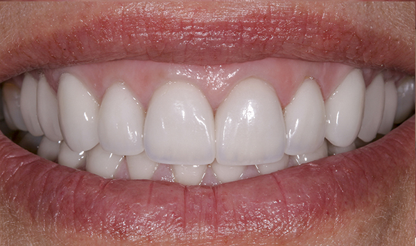
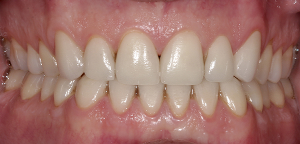
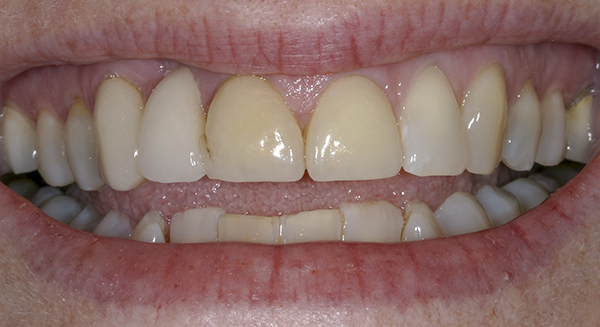
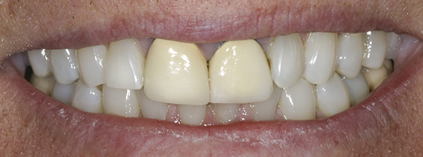
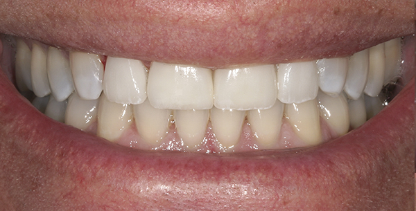
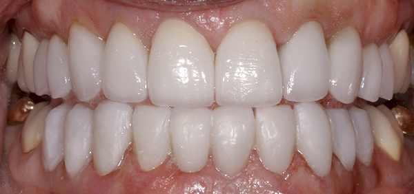
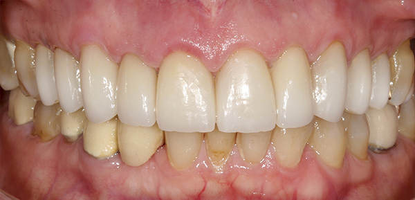
Smile Gallery